哪些胰腺神经内分泌肿瘤需要手术?
瑞金胰腺中心每年完成胰腺切除术超过1000例,其中约10%为胰腺神经内分泌肿瘤。手术治疗是胰腺神经内分泌肿瘤最重要的治疗手段。总体来说,绝大多数胰腺神经内分泌肿瘤需要手术切除。手术切除是胰腺神经内分泌肿瘤患者获得治愈的唯一方式。对于没有转移的肿瘤,手术根治性切除是首选的治疗方式。当然部分患者亦可采取密切观察随访的策略,如低级别无症状的小胰腺神经内分泌瘤(<2cm)、MEN-1相关的无功能且直径较小的胰腺神经内分泌瘤(<3cm)。对于存在转移或局部进展期的胰腺神经内分泌肿瘤,手术治疗依然是重要的治疗手段。如果可以根治性切除,首选手术治疗。对于部分肿瘤负荷较高的患者,减瘤手术或者转化治疗后手术治疗也是重要的治疗手段。
肿瘤局部剜除术
肿瘤局部剜除术适用于直径较小(<2cm)、或虽然大但表浅的肿瘤,距离胆管及主胰管较远(最好能≥3mm),该术式广泛应用于胰岛素瘤及直径小的无功能神经内分泌肿瘤,术前建议行68Ga-DOTA-生长抑素受体PET/CT或MR检查排除转移。该术式可以接近100%地保留胰腺内外分泌功能,提高患者远期生活质量,尤其联合机器人微创手术系统,可进一步减少手术创伤,加快术后康复。作为较多胰腺单发的神经内分泌肿瘤患者,期待保留胰腺完整性的情况下,推荐该术式作为首选,严格的术前评估有助于减少术后胰瘘的发生风险,但手术难度和技术要求较高,术后的管理尤为重要。

图1
胰腺上任何部位(图1)都可以长神经内分泌肿瘤,瑞金医院已经实现任何位置的局部剜除,而不造成重要管道的损伤,术前精准的评估肿瘤的位置,术中再用B超精准找到肿瘤,再如探囊取物般摘除肿瘤(图2)。

图2
保留功能的胰腺节段切除术
保留功能的胰腺节段切除术包括胰腺中段切除、保留十二指肠胰头切除术及保留脾脏的胰体尾切除术。这些术式加上剜除术都可以更好的保留脏器功能,提高患者的远期生活质量,但应严格把握指证。胰腺中段切除适用于肿瘤位于胰腺颈体部、距离主胰管较近或累及主胰管的肿瘤,切除后可以行胰胃(图3)或者胰肠吻合。保留脾脏的胰体尾切除主要包括保留脾血管的胰体尾切除术(Kimura法)和不保留脾血管的胰体尾切除术(Warshaw法)。这些手术对技术要求都很高,但在瑞金都已经实现常态化,通常建议在机器人辅助下进行,实现“切口微创,操作微创,胰腺微创”。

图3
标准的根治性切除术
标准的根治性切除术包括胰十二指肠切除术及胰体尾联合脾脏切除术,适用于肿瘤直径较大(>2cm)或者恶性程度较高的神经内分泌肿瘤。胰十二指肠切除术(图4)是最复杂的外科手术之一,切除范围大(包括胰头、十二指肠、部分胃及空场、胆囊及部分肝外胆管),吻合复杂,因此手术风险较高,常用于壶腹周围区域肿瘤的外科治疗。

图4 胰十二指肠切除术
联合脏器或血管切除的扩大根治术
虽然胰腺神经内分泌肿瘤侵袭性弱于胰腺癌,但由于该类肿瘤常无临床症状,发现时往往肿瘤体积较大,所以肿瘤侵犯周围脏器或者重要血管的情况并不少见。联合血管切除在胰腺癌治疗中已经被广泛认可,同样在胰腺神经内分泌肿瘤上也适用(图5)。

图5 患者诊断为胰头部NET侵犯肠系膜上静脉,CAPTEM方案新辅助化疗后行根治性胰十二指肠切除+肠系膜上静脉重建+扩大腹腔淋巴结清扫。
由于局部晚期肿瘤手术风险极大,通常需首先采取药物转化治疗,待肿瘤缩小再行根治性手术。但是,如果合并出血、梗阻等严重并发症(图),积极的外科手术治疗不仅可以挽救患者生命,而且可以达到肿瘤根治的目的。

图6 38岁女性患者,因下消化道出血入院,腹部增强CT提示胰头十二指肠区域巨大占位,直径>20cm,诊断无功能胰腺神经内分泌肿瘤,肿瘤巨大合并消化道出血无法行抗肿瘤治疗。因急性下消化道出血伴失血性休克,急诊行胰十二指肠切除术+肠系膜上静脉重建+右半结肠切除术,目前患者恢复良好。
转化治疗后手术治疗
文献报道约60%的神经内分泌肿瘤发现时已属中晚期,直接手术治疗效果不佳。目前多采用药物转化治疗。经过药物治疗后肿瘤负荷降低、范围及体积缩小,在联合手术治疗可进一步改善患者预后(图7,8)。常用的转化治疗手段包括靶向药物治疗、化疗、介入治疗及PRRT等。

图7
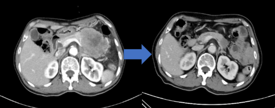
22岁女性患者,2018年瑞金医院就诊,诊断胰腺神经内分泌肿瘤G3伴弥漫肝转移。经瑞金医院胰腺神经内分泌肿瘤多学科团队会诊明确诊断并予以卡培他滨联合替莫唑胺口服化疗,服药12个月肿瘤达到完全缓解,原发病灶及转移病灶消失,目前肿瘤持续缓解。左图为口服化疗前影像(弥漫肝转移),右图为药物治疗12个月的影像(转移病灶完全缓解)。

图8
66岁男性患者,因胰腺体尾部巨大占位入院,穿刺活检提示大细胞型神经内分泌癌(左图),予IP方案(伊立替康+卡铂)新辅助化疗6次,肿瘤显著缩小(右图),降期成功并行根治性手术。
减瘤手术
对于晚期胰腺神经分泌肿瘤,手术治疗仍然是重要的治疗手段之一。如果转移病灶和原发病灶都可切除,推荐行原发灶联合转移灶的根治性切除。如果无法根治性切除,部分合并肝转移的患者可以通过减瘤手术达到降低肿瘤负荷、改善肿瘤相关症状并改善患者预后的目的(图9)。减瘤手术的指证包括原发灶可切除、肿瘤分级为G1/G2、至少减瘤70%且有足够的剩余肝体积、无其他手术禁忌症。

图9 38岁男性患者,胰头神经内分泌肿瘤(G2)伴单发肝转移(A),2014年3月行胰十二指肠切除术+肝转移灶切除,术后病理提示pNET G2,ki67 5%,术后长效奥曲肽辅助治疗,目前肿瘤未复发(B,C)。
本文是金佳斌版权所有,未经授权请勿转载。
本文仅供健康科普使用,不能做为诊断、治疗的依据,请谨慎参阅
https://m.haodf.com/neirong/wenzhang/8651787397.html